治療ユーザー2,000万人超え!
世界シェアNO.1
マウスピース使用
マウスピース使用
指導医が可能にする質の高い矯正
AI任せにしない
0.1㎜単位の
オーダーメイド設計
多くの医院では、AI(人工知能)が算出した治療計画をそのまま使用しますが、歯の動きには個人差があり、計画どおりに進まないこともあります。
そのまま修正を重ねると、マウスピースの枚数が増え、治療期間が長引くケースも少なくありません。
同じ歯並びでも、計画をどのように調整・設計し直すかによって、矯正の期間だけでなく、成功するかどうかも変わります。
そのまま修正を重ねると、マウスピースの枚数が増え、治療期間が長引くケースも少なくありません。
同じ歯並びでも、計画をどのように調整・設計し直すかによって、矯正の期間だけでなく、成功するかどうかも変わります。
精密な治療を支える
先端機器の設備
iTero LuminaiTero Lumina
当院では、最新型のiTero Luminaによる高精度な口腔内スキャニングと、セファログラム(頭部X線規格写真)などの検査データを組み合わせて診断を行っています。
歯並びだけでなく、骨格バランスや横顔のラインまで多角的に分析することで、従来の検査よりも精密で総合的な治療計画の立案を可能にしています。
歯並びだけでなく、骨格バランスや横顔のラインまで多角的に分析することで、従来の検査よりも精密で総合的な治療計画の立案を可能にしています。
歯並びだけでなく、
横顔・フェイスラインまで考えた矯正へ。
3Dフェイススキャンによる 表情・顔貌の立体解析
フェイススキャナーでお顔全体を立体的に分析し、
口元と顔貌の調和を重視した治療計画
を行います。
顔貌シミュレーション横顔・フェイスラインまで見据えた
三次元
画像
画像
高解像度
画像
画像
低被ばく
量
量
顎骨や歯根、神経の位置までを立体的に把握することで、平面的な診断では気づきにくい細かなリスクやズレを事前に確認できます。
矯正治療を始める前から精度の高い診断を行うことで、
無理のない、より安全性に配慮した治療計画を立てることが可能です。
矯正治療を始める前から精度の高い診断を行うことで、
無理のない、より安全性に配慮した治療計画を立てることが可能です。
矯正治療に必要なセファログラムを併用することで、頭部全体の骨格バランスや将来的な変化まで考慮した分析が可能になります。
その結果、より精度の高い治療計画を立てることができ、仕上がりの安定性にもつながります。
その結果、より精度の高い治療計画を立てることができ、仕上がりの安定性にもつながります。
緻密な
治療計画の
立案
治療計画の
立案
頭部・顎骨の
評価
評価
最新 iTero Lumina による 高精細3Dシミュレーション
高精度な
三次元
スキャン
三次元
スキャン
短時間で
負担が
少ない
負担が
少ない
インビザ
ライン®との
連携
ライン®との
連携
iTeroスキャナーで取得した高精度な歯型データを、セファログラムと組み合わせて解析。
歯・骨格・お顔のバランスを統合した3Dモデル上で、矯正後の歯並びやフェイスラインの変化まで確認できるため、治療のイメージをより可視化できます。
歯・骨格・お顔のバランスを統合した3Dモデル上で、矯正後の歯並びやフェイスラインの変化まで確認できるため、治療のイメージをより可視化できます。
当院は可能な限り
抜歯をしません。
抜歯をしません。
部分矯正から全体矯正まで対応
おかげさまで
全国からご来院
全国からご来院
症例数
9,000件以上
9,000件以上
治療終了数
8,000件以上
8,000件以上
インビザライン
専門20年
専門20年
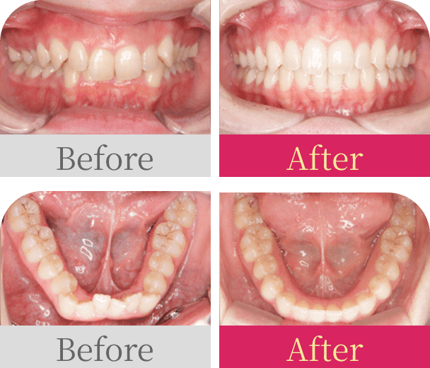
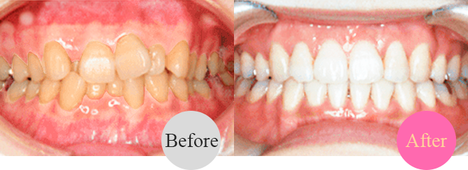
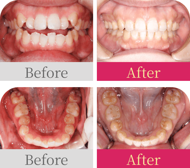
仕上がりで選ばれる 当院のマウスピース矯正
過蓋咬合 前歯のガタガタ
前歯のガタガタ
奥歯で噛んでも前歯が噛み合わない(開咬)、前歯のガタガタ
年齢別の矯正
大人向けの矯正
歯周病リスク配慮
長期安定の矯正
長期安定の矯正
中高年代向けの矯正
歯周状態を考慮した矯正可
難症例対応可
難症例対応可
お子様の矯正
成長段階に合わせた矯正
将来の健康を見据えた矯正
将来の健康を見据えた矯正
あらゆる悩みを
まとめて矯正
歯並び・噛み合わせの症状
出っ歯・口ゴボ
上顎前突
上顎前突
ガタガタ・八重歯
叢生
叢生
すきっ歯
正中離開
正中離開
嚙み合わせが深い
過蓋咬合
過蓋咬合
歯が噛み合わない
開咬
開咬
受け口
反対咬合
反対咬合
お悩み/ニーズ別
矯正後に歯並び後戻り
矯正で失敗
他院で断られた
抜歯をせずに矯正したい
歯並びだけでなく、
顔立ちの印象も整える矯正
Eライン/スマイルラインの改善
ガミースマイルの改善
アデノイド顔貌の改善
歯の黄ばみ(ホワイトニング併用可能)
限られた認定ドクターだけが提供できる高品質マウスピース矯正
はじめてでも
安心の矯正プラン
月額3,000円〜
小児矯正
インビザライン・
ファースト
インビザライン・
ファースト
660,000円(税込)
小児矯正
インビザライン・
フェーズ2
インビザライン・
フェーズ2
330,000円(税込)
成人矯正
(軽度の方)
(軽度の方)
495,000円(税込)
成人矯正
(中程度)
(中程度)
715,000円(税込)
成人矯正
(全体矯正)
(全体矯正)
990,000円(税込)
※掲載しているプランは一例です。
歯並びやご希望に合わせて、お一人おひとりに合ったプランをご案内します。
まずは無料カウンセリングでお気軽にご相談ください。
歯並びやご希望に合わせて、お一人おひとりに合ったプランをご案内します。
まずは無料カウンセリングでお気軽にご相談ください。
各種クレジット払いに対応
VISA・Master・JCB・AmericanExpress・Dinersclub International
デンタルローン
最大120回の分割も対応
※審査有り
当院独自の分割払いも対応
- 審査不要
- 利息なし
格安価格
モニター価格
忙しくても
自宅でできる
自宅でできる
こうした言葉をきっかけに、
マウスピース矯正を選ばれる方はとても増えています。
マウスピース矯正を選ばれる方はとても増えています。
しかし、結果として・・・
こうしたお悩みを感じている方から
多数矯正のご相談を頂いております。
矯正歯科指導医として
お伝えします
マウスピース矯正は
設計する“人”によって
仕上がり、治療期間も変わります。
設計する“人”によって
仕上がり、治療期間も変わります。
外から見える範囲だけをキレイにする
という部分的な対策では、
長続きはしないのです。
長続きはしないのです。
エムアンドアソシエイツは
インビザライン社より日本代表に選出!
インビザライン社・公式の活動実績多数
私たちは、マウスピース矯正(インビザライン)が日本に普及する以前の2006年頃から治療に取り組んできた国内パイオニアです。
インビザライン社からの依頼を受け、日本およびアジア圏におけるマウスピース矯正の発展に貢献してきました。
インビザライン社からの依頼を受け、日本およびアジア圏におけるマウスピース矯正の発展に貢献してきました。
活動歴(一部)
インビザライン公認「APACアドバイザリーボードメンバー」初期日本代表メンバー就任
(増岡Dr: 日本代表2名のうち1名に選出)
(増岡Dr: 日本代表2名のうち1名に選出)
インビザライン公認「クリニカルスピーカー(現ファカルティ)」メンバー就任
(増岡Dr:日本で20名 のうち3名が在籍)
(増岡Dr:日本で20名 のうち3名が在籍)
インビザラインサミット、グローバルアワード(世界規模のアワード)へ登壇・治療結果に対する 賞の獲得
インビザライン公式
インストラクター活動
インストラクター活動
香港講演
シンガポール講演
韓国講演(2025最新)
グローバルギャラリー受賞(一例)
ヨーロッパアライナー学会認定医が 4名在籍
当グループには、ヨーロッパアライナー学会(EAS)認定医が4名在籍。
アライナー矯正の先進国・ヨーロッパにて、技能審査や症例発表を含む試験を通過したドクターのみに与えられる認定です。
現在日本で8名のみが取得しており、うち4名が当グループのドクターです。
アライナー矯正の先進国・ヨーロッパにて、技能審査や症例発表を含む試験を通過したドクターのみに与えられる認定です。
現在日本で8名のみが取得しており、うち4名が当グループのドクターです。
渡部院長(名古屋)、南舘院長(福岡)、戸苅院長(札幌)、西嶋勤務医(日本橋)認定取得
日本国内の
開業医(矯正医・歯科医)への
技術支援・指導
日本の治療レベル向上を目指し、歯科医師向けの指導・教育活動を実施。
2021年より活動を開始し、ドクター向け教育講座は2025年で第6期を迎えています。
2021年より活動を開始し、ドクター向け教育講座は2025年で第6期を迎えています。
矯正医・歯科医様向け
セミナー開講
セミナー開講
名古屋院院長・渡部ドクター
札幌院院長・戸苅ドクター
福岡院院長・南舘ドクター
代表増岡ドクターによる講演
海外での活動
マウスピース矯正治療は欧米発祥の治療方法であり、最新の技術や知見を得るためには海外との交流が不可欠です。
マウスピース矯正先進国である欧米諸国との共同研究および講演活動を通して、より日本人に 適したマウスピース矯正治療を追求しています。
マウスピース矯正先進国である欧米諸国との共同研究および講演活動を通して、より日本人に 適したマウスピース矯正治療を追求しています。
米国ワシントン大学との共同研究
現在米国ワシントン大学とデータベースを連携し、日本をはじめとしたアジア圏におけるマウスピース矯正治療技術向上のための共同研究を行っています。
ヨーロッパアライナー学会の
認定医取得支援活動
EAS(ヨーロッパアライナー学会)の認定医の取得を目指す、若きドクターに向けて認定資格取得をサポートする教育活動を行っています。
客観的に評価され続けてきた、20年の知識と技術。
難症例や再矯正まで対応できる確かな根拠があります。
マウスピース矯正は、私たちにご相談ください。
客観的に評価され続けてきた、20年の知識と技術。
難症例や再矯正まで対応できる確かな根拠があります。
マウスピース矯正は、私たちにご相談ください。
MA矯正歯科グループの 6つの安心
01繊密丁寧な治療設計で
半年に一回の通院を実現
指導医が初期診断から治療計画までを丁寧に設計しています。
忙しい方や遠方から通われる方にも頻繁な通院が不要な矯正治療を実現しています。
忙しい方や遠方から通われる方にも頻繁な通院が不要な矯正治療を実現しています。
02最新技術を使った無料診断
無料診断でわかること
- 歯並びの3D解析
- 歯1本1本の噛み合わせ状況
- 治療にかかる期間
- 治療にかかる費用
- 抜歯の必要があるかどうか
- 治療終了後の未来の歯並び
- 矯正治療のBefore/After事例
03審査不要・利息なし
当院独自の分割払いに対応
デンタルローンとは別に 信販会社を通さない当院独自の分割払いをご用意しています。
審査不要で、金利や手数料がかからないため、はじめての矯正でも無理なく治療をスタートできます。
審査不要で、金利や手数料がかからないため、はじめての矯正でも無理なく治療をスタートできます。
04医療費控除の対象
お支払い例 88万円(税込)の場合
-
所得税の軽減… 約15万円前後
-
住民税の軽減… 約7万円前後
医療費控除により戻ってくる可能性があります
※本シュミレーションは国税庁の医療費控除制度に基づく一例です。
※所得・家族構成・治療内容等により控除額がは異なります。
※所得・家族構成・治療内容等により控除額がは異なります。
05矯正と同時に
ホワイトニングも可能
06日本成人矯正学会
認定歯科衛生士 在籍
不安やお悩みも、
話しやすい環境を大切にしています。
話しやすい環境を大切にしています。
カウンセリングから
治療完了までの流れ
STEP1
カウンセリング予約
こんな方もお気軽にご相談ください
- 自分の歯並びでも矯正できるのか知りたい
- 治療にどれくらいの期間がかかるのか不安
- まずは話だけ聞いてみたい
- 無料カウンセリングでわかること
- あなたの歯並びが矯正可能かどうか
STEP2
カウンセリング・精密検査
治療に必要なデータを詳しく取得し、診断の精度を高めます。
口腔内検査やレントゲン撮影に加え、顔貌写真・3D口腔内スキャンなどを行い、最適なプランをご提案します。
口腔内検査やレントゲン撮影に加え、顔貌写真・3D口腔内スキャンなどを行い、最適なプランをご提案します。
STEP3
治療プラン・費用のご説明
検査結果をもとに、あなたに合う治療計画を具体的にご提案します。
不安や疑問を整理して、納得して進められます。
分からないことは何度でも遠慮なくご相談ください。
不安や疑問を整理して、納得して進められます。
- 矯正医が、どのように歯を動かすのか
- 期間はどれくらいか
- 必要な処置(IPR/アタッチメント等)があるか
分からないことは何度でも遠慮なくご相談ください。
STEP4
治療計画のお伝え
3Dデータをもとに、治療後までの変化を画面で確認できます。
よくあるAIの自動設計データをそのまま使うのではなく、当院では担当医が1本ずつ歯の動きを細かく調整し、噛み合わせまで含めて仕上がりの精度を高めます。
完成後は、歯がどう動くか/期間を一緒に確認してから治療を進めます。
よくあるAIの自動設計データをそのまま使うのではなく、当院では担当医が1本ずつ歯の動きを細かく調整し、噛み合わせまで含めて仕上がりの精度を高めます。完成後は、歯がどう動くか/期間を一緒に確認してから治療を進めます。
院内紹介
よくあるご質問Q&A
Q
出っ歯を治して横顔を綺麗なEラインにしたいです。
マウスピース型矯正装置で口元を引っ込めることは可能でしょうか。
マウスピース型矯正装置で口元を引っ込めることは可能でしょうか。
A
東京日本橋エムアンドアソシエイツ矯正歯科では抜歯を伴うマウスピース型矯正装置による治療に対応しています。
上顎前突(出っ歯)や下顎前突(受け口)を改善し、鼻の先と顎の先を結んだEラインをすっきりと整えたい方の治療法についてご説明いたします。
上顎前突(出っ歯)や下顎前突(受け口)を改善し、鼻の先と顎の先を結んだEラインをすっきりと整えたい方の治療法についてご説明いたします。
Q
現在50代です。長年歯並びに悩んできました。今からでも矯正治療は可能でしょうか?
A
矯正治療は年齢に関わらず、歯と歯茎の状態に問題が無ければ可能です。実際に、60代から矯正治療を始められた患者様もおられます。これまで、いろいろな理由から矯正を諦めてきた方も「マウスピース型矯正装置を使う矯正なら」と始められる方も多くいらっしゃいます。
マウスピース型矯正装置による矯正治療であれば、見た目も目立たず取り外しも可能です。通院頻度も通常2か月に1回程度と少なく、患者様にとって負担を抑えられるのが特徴です(治療開始当初や、途中で軌道修正が必要になった場合でも1ヶ月に1回程度です)。治療期間については、皆様に2年程度とお伝えしておりますが、マウスピースの枚数や、歯の移動量にによって異なりますので一つの目安としてお考えいただければと思います。
また矯正治療をすることで、歯並びが改善されることで、虫歯や歯周病、口臭といったリスクを下げることができます。また咬み合わせが悪く、一部の歯に負担がかかっているようなケースも改善を期待することができます。
これから先も、長くご自身の歯を長持ちさせるという意味でも、矯正はお勧めできる治療法です。
まずは、実際にお口の中を拝見して、歯や歯茎の健康状態を把握するところから始めていきます。東京日本橋エムアンドアソシエイツ矯正歯科では初診カウンセリングを受け付けておりますので、お気軽にご相談ください。
マウスピース型矯正装置による矯正治療であれば、見た目も目立たず取り外しも可能です。通院頻度も通常2か月に1回程度と少なく、患者様にとって負担を抑えられるのが特徴です(治療開始当初や、途中で軌道修正が必要になった場合でも1ヶ月に1回程度です)。治療期間については、皆様に2年程度とお伝えしておりますが、マウスピースの枚数や、歯の移動量にによって異なりますので一つの目安としてお考えいただければと思います。
また矯正治療をすることで、歯並びが改善されることで、虫歯や歯周病、口臭といったリスクを下げることができます。また咬み合わせが悪く、一部の歯に負担がかかっているようなケースも改善を期待することができます。
これから先も、長くご自身の歯を長持ちさせるという意味でも、矯正はお勧めできる治療法です。
まずは、実際にお口の中を拝見して、歯や歯茎の健康状態を把握するところから始めていきます。東京日本橋エムアンドアソシエイツ矯正歯科では初診カウンセリングを受け付けておりますので、お気軽にご相談ください。
Q
矯正治療では歯を削る場合があると聞きました。健康な歯を削るのは安全なのですか?
A
IPRの安全性についてご説明いたします。
IPRはマウスピース型矯正装置を用いた矯正治療に限らず、従来の矯正治療でも一般的に行われてきた安全な処置ですが、東京日本橋エムアンドアソシエイツ矯正歯科では患者様のご希望に合わせて、IPRをしない治療計画をご提案することも可能です。
IPRはマウスピース型矯正装置を用いた矯正治療に限らず、従来の矯正治療でも一般的に行われてきた安全な処置ですが、東京日本橋エムアンドアソシエイツ矯正歯科では患者様のご希望に合わせて、IPRをしない治療計画をご提案することも可能です。
Q
開咬についてです。過去に他院でワイヤー矯正をしたのですが治りませんでした。
マウスピース矯正で開咬は治りますか?
マウスピース矯正で開咬は治りますか?
A
開咬(オープンバイト)は矯正治療の中でも難しく・後戻りをしやすい不正咬合であるとされていますが、マウスピース矯正は開咬の改善にも有効です。
Q
ガミースマイルはマウスピース型矯正装置で治りますか?
過蓋咬合も気になっています。
過蓋咬合も気になっています。
A
歯並びが原因によるガミースマイルは、矯正治療によって改善可能な場合があります。咬み合わせが深い過蓋咬合(ディープバイト)ですが、こちらももちろん、マウスピース型矯正装置による矯正治療で改善が可能な不正咬合です。
Q
40代で、奥歯にブリッジをしています。矯正治療はできますか?
A
基本的に、ブリッジの歯があっても矯正治療は可能です。ブリッジをそのままにして問題ないケースや、ブリッジのやり直しが必要なケース、またその他にもいくつかの例を挙げてご説明いたします。
Q
歯が大きく気になっています。歯の縦幅を削ることは可能ですか?
A
前歯の縦幅を削って、歯の大きさを調整することは可能です。ただし、安全に削れる量には限界があり、またもし削るとしても矯正治療で歯並びを整えてからをお勧めしています。
Q
光加速矯正装置の取り扱いはありますか?
A
矯正治療で使用される光加速矯正装置は、近赤外線のエネルギーを照射することで骨再生を促し、治療期間を短くする効果があります。東京日本橋エムアンドアソシエイツ矯正歯科では、患者様のうち光加速装置を使用されているのは全体の1割程度です。
Q
抜歯にするか非抜歯にするか迷っています・・・
A
当院にご相談いただく患者様の中には、抜歯・非抜歯・またはIPR(歯を少量削る方法)のいずれの治療方法が良いか迷われている方が多くいらっしゃいます。
Q
初診カウンセリングの持ち物は何が必要でしょうか?
A
保険証などご自身を証明できるものをお持ちください。
Q
未成年ですが1人で受診できるでしょうか?
A
18歳以下の方は保護者の方と一緒にご来院くださることをおすすめします。
Q
家族4人で伺っても大丈夫でしょうか?
A
もちろん大丈夫です。
お子さまの場合、祖父母の方と一緒に来院される方もいらっしゃいます。予約時に、人数をお伝えください。
お子さまの場合、祖父母の方と一緒に来院される方もいらっしゃいます。予約時に、人数をお伝えください。
Q
私の歯並びは保険適応になるでしょうか?
A
保険適応で矯正治療を行う場合、病名は「顎変形症(顎変形症)」となります。顎変形症とは、顎の骨が上下で大きなずれがある、骨格が原因で顔の左右が非対称になるなど、かみ合わせが悪くなる不正咬合(ふせいこうごう)が起こる病気です。保険適応となる矯正治療の流れ・注意点をご紹介します。
全国展開中の
MA矯正歯科グループ!
札幌院
〒060-0001
北海道札幌市中央区北1条西3丁目3 敷島北一条ビル8階
北海道札幌市中央区北1条西3丁目3 敷島北一条ビル8階
アクセス
大通駅(札幌市営地下鉄)徒歩5分
診察時間
| 月 | 火 | 水 | 木 | 金 | 土 | 日 | 祝 | |
|---|---|---|---|---|---|---|---|---|
| 11:00~19:00 | / | / | ● | ● | ● | / | / | |
| 11:00~17:00 | ▲ |
日本橋本院
〒103-0023
東京都中央区日本橋町1丁目1番5号 日本橋TNビル4F
東京都中央区日本橋町1丁目1番5号 日本橋TNビル4F
アクセス
日本橋駅より徒歩5分
三越前駅より徒歩3分
三越前駅より徒歩3分
診察時間
| 月 | 火 | 水 | 木 | 金 | 土 | 日 | 祝 | |
|---|---|---|---|---|---|---|---|---|
| 11:00~19:00 | ● | ● | ● | ● | ● | / | ||
| 10:30~17:30 | ● | ● | / |
※日曜日は隔週休診となります。(詳細はお問い合わせください)
WEBサイト
千石院
〒113-0021
東京都文京区本駒込2-10-3 ウエストンワン・ビル3F
東京都文京区本駒込2-10-3 ウエストンワン・ビル3F
アクセス
千石駅から徒歩1分
診察時間
| 月 | 火 | 水 | 木 | 金 | 土 | 日 | 祝 | |
|---|---|---|---|---|---|---|---|---|
| 11:00~19:00 | ● | ● | ● | ● | ● | / | ||
| 10:30~17:30 | ● | ● | / |
※日曜日は隔週休診となります。(詳細はお問い合わせください)
WEBサイト
大阪院
〒542-0081
大阪府大阪市中央区南船場3-10-11 FPG links SHINSAIBASHI7F
大阪府大阪市中央区南船場3-10-11 FPG links SHINSAIBASHI7F
アクセス
心斎橋駅(御堂筋線)徒歩5分
診察時間
| 月 | 火 | 水 | 木 | 金 | 土 | 日 | 祝 | |
|---|---|---|---|---|---|---|---|---|
| 11:00~19:00 | ● | ● | ● | ● | ● | / | ||
| 10:30~17:30 | ▲ | ▲ |
※祝日のみ休診です。
WEBサイト
愛知院
〒450-0002
愛知県名古屋市中村区名駅3丁目23−6 第二千福ビル 2F
愛知県名古屋市中村区名駅3丁目23−6 第二千福ビル 2F
アクセス
JR名古屋駅から徒歩5分
診察時間
| 月 | 火 | 水 | 木 | 金 | 土 | 日 | 祝 | |
|---|---|---|---|---|---|---|---|---|
| 11:00~19:00 | ● | ● | / | ● | ● | ▲ | / | |
| 10:00~17:00 | ▲ |
※水・日曜日・祝日が休診です。
※日曜日は月2回のみ
※日曜日は月2回のみ
WEBサイト
福岡院
〒810-0042
福岡県福岡市中央区赤坂1丁目13−8 赤坂ウィング3階
福岡県福岡市中央区赤坂1丁目13−8 赤坂ウィング3階
アクセス
赤坂駅(空港線)徒歩2分
診察時間
| 月 | 火 | 水 | 木 | 金 | 土 | 日 | 祝 | |
|---|---|---|---|---|---|---|---|---|
| 11:00~19:00 | ● | ● | ● | ● | ● | / | ||
| 10:30~17:30 | ▲ | ▲ |
※祝日のみ休診です。
WEBサイト